Proces wszczepienia implantów zębowych, choć kojarzony głównie z zabiegiem chirurgicznym, rozpoczyna się znacznie wcześniej, od dokładnej diagnostyki i planowania. To kluczowy etap, który decyduje o sukcesie całej terapii. Pierwszym krokiem jest szczegółowa konsultacja z lekarzem stomatologiem, specjalizującym się w implantologii. Podczas wizyty lekarz przeprowadza wywiad medyczny, zbierając informacje o ogólnym stanie zdrowia pacjenta, przebytych chorobach, przyjmowanych lekach oraz ewentualnych alergiach. Szczególną uwagę zwraca się na historię chorób przyzębia, nawyki takie jak palenie tytoniu czy zgrzytanie zębami, które mogą wpływać na proces gojenia i stabilność implantu. Następnie przeprowadzane jest badanie jamy ustnej, oceniające stan uzębienia, dziąseł oraz kości szczęki lub żuchwy.
Konieczne jest wykonanie specjalistycznych badań obrazowych. Najczęściej stosuje się pantomogram (RTG panoramiczne), który daje ogólny obraz uzębienia i struktur kostnych. Bardziej precyzyjne informacje dostarcza tomografia komputerowa (CBCT), umożliwiająca trójwymiarowe zobrazowanie kości, co jest nieocenione w ocenie jej grubości, wysokości i gęstości, a także w lokalizacji ważnych struktur anatomicznych, takich jak nerwy czy zatoki szczękowe. Na podstawie zebranych danych i obrazów radiologicznych lekarz opracowuje indywidualny plan leczenia. Określa liczbę potrzebnych implantów, ich rozmiar i umiejscowienie, a także rodzaj odbudowy protetycznej (korony, mosty). Na tym etapie pacjent jest również informowany o przebiegu całego procesu, potencjalnych ryzykach, kosztach oraz spodziewanych rezultatach.
Jakie badania są potrzebne przed wszczepieniem implantu
Zanim dojdzie do właściwego zabiegu chirurgicznego, jakim jest wszczepienie implantu zębowego, niezbędne jest przeprowadzenie szeregu badań diagnostycznych. Ich celem jest ocena stanu zdrowia pacjenta, stanu jamy ustnej oraz przygotowanie optymalnego planu leczenia. Podstawą jest dokładne badanie stomatologiczne, które pozwala ocenić stan zębów pozostałych, dziąseł, śluzówki oraz zgryzu. Lekarz zwraca uwagę na oznaki chorób przyzębia, obecność próchnicy czy stan higieny jamy ustnej. W przypadku stwierdzenia problemów, takich jak stany zapalne dziąseł czy zaawansowana próchnica, konieczne jest ich wcześniejsze wyleczenie, ponieważ stanowią one przeciwwskazanie do implantacji.
Kluczowe są badania obrazowe. Najczęściej zleca się wykonanie zdjęcia pantomograficznego (RTG panoramicznego), które daje ogólny obraz całej szczęki i żuchwy, ukazując stan kości, korzenie zębów oraz ewentualne zmiany patologiczne. Bardziej szczegółową analizę umożliwia tomografia komputerowa stożkowa (CBCT). Jest to badanie trójwymiarowe, które pozwala na precyzyjną ocenę ilości i jakości tkanki kostnej w miejscu planowanego wszczepienia implantu. Dzięki niemu można dokładnie określić dostępną przestrzeń, uniknąć uszkodzenia ważnych struktur anatomicznych, takich jak nerwy czy zatoki szczękowe, oraz zaplanować optymalne umiejscowienie i kąt nachylenia implantu. Czasem lekarz może zlecić dodatkowe badania, takie jak badania krwi, aby wykluczyć lub potwierdzić ogólne przeciwwskazania zdrowotne do zabiegu, na przykład zaburzenia krzepnięcia czy choroby autoimmunologiczne.
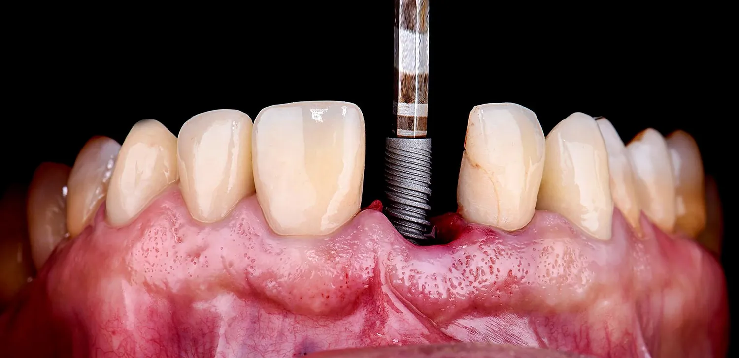
Przebieg chirurgicznego etapu wszczepienia implantu

Gdy loża jest gotowa, następuje etap właściwego wszczepienia implantu. Implant, który jest tytanowym odpowiednikiem korzenia zębowego, jest delikatnie wkręcany lub wbijany w przygotowany otwór. Po umieszczeniu implantu, chirurg może zastosować śrubę zamykającą lub tymczasową śrubę gojącą, która wystaje ponad linię dziąsła. Następnie nacięte dziąsło jest zszywane. Cały zabieg trwa zazwyczaj od kilkudziesięciu minut do godziny, w zależności od liczby implantów i złożoności przypadku. Po zabiegu pacjent otrzymuje zalecenia dotyczące higieny jamy ustnej, diety oraz ewentualnego przyjmowania leków przeciwbólowych lub antybiotyków.
Jak wygląda proces gojenia i integracji implantu z kością
Po chirurgicznym wszczepieniu implantu rozpoczyna się kluczowy etap integracji tkanki kostnej z powierzchnią implantu, czyli proces osteointegracji. Jest to naturalny proces biologiczny, podczas którego komórki kostne przylegają do powierzchni implantu, tworząc silne i stabilne połączenie. Okres gojenia jest zmienny i zależy od wielu czynników, takich jak jakość i ilość kości pacjenta, ogólny stan zdrowia, wiek, nawyki żywieniowe oraz stosowana technika implantologiczna. Zazwyczaj trwa on od 3 do 6 miesięcy w przypadku implantów w żuchwie, a nieco dłużej, bo od 4 do 8 miesięcy, w przypadku implantów w szczęce, która jest kością bardziej gąbczastą.
W tym czasie pacjent powinien szczególnie dbać o higienę jamy ustnej, stosując zalecenia lekarza dotyczące szczotkowania, nitkowania oraz używania płynów do płukania. Ważne jest unikanie nadmiernego obciążania wszczepionego implantu, co oznacza powstrzymanie się od gryzienia twardych pokarmów w okolicy zabiegu. W przypadku stosowania śruby zamykającej, dziąsło goi się nad implantem, tworząc szczelne zamknięcie. Po okresie gojenia następuje drugi etap zabiegu, podczas którego chirurg odsłania implant i przykręca do niego śrubę gojącą, która modeluje dziąsło, przygotowując je do umieszczenia ostatecznej odbudowy protetycznej. W niektórych przypadkach, zwłaszcza gdy implant jest stabilny i warunki kostne są idealne, możliwe jest zastosowanie tzw. implantacji jednofazowej, gdzie śruba gojąca jest przykręcana od razu po wszczepieniu implantu.
Odbudowa protetyczna na implancie zębowym po integracji
Gdy implant zębowy zintegrował się z kością i uzyskał pełną stabilność, przychodzi czas na etap protetyczny, czyli wykonanie i zamocowanie ostatecznej odbudowy zęba. Jest to element widoczny dla pacjenta, który przywraca pełną funkcjonalność i estetykę uzębienia. Pierwszym krokiem jest pobranie precyzyjnych wycisków jamy ustnej, które pozwalają na dokładne odwzorowanie przestrzeni, w której ma znaleźć się nowy ząb. W zależności od liczby brakujących zębów i indywidualnych potrzeb pacjenta, odbudową protetyczną może być:
- Korona protetyczna: Jest to najczęściej stosowane rozwiązanie w przypadku pojedynczych braków zębowych. Korona jest indywidualnie dopasowywana pod względem kształtu, koloru i wielkości, tak aby idealnie komponowała się z pozostałymi zębami pacjenta.
- Most: W przypadku utraty kilku zębów obok siebie, można zastosować most protetyczny oparty na implantach. Implanty służą jako filary, na których osadzony jest most składający się z kilku koron.
- Proteza ruchoma lub stała: W przypadkach rozległych braków zębowych, implanty mogą służyć jako punkty stabilizujące dla protez. Mogą to być protezy ruchome, które są znacznie stabilniejsze dzięki zaczepom na implantach, lub protezy stałe, które są trwale przytwierdzone do implantów.
Po przygotowaniu odbudowy protetycznej w laboratorium protetycznym, następuje jej przymierzenie i ewentualna korekta. Następnie, lekarz przykręca lub cementuje koronę, most lub protezę do implantu (lub implantów) za pomocą specjalnego łącznika zwanego «abutmentem». Abutment jest elementem pośredniczącym pomiędzy implantem a częścią protetyczną. Cały proces protetyczny jest równie ważny jak etap chirurgiczny, ponieważ to od niego zależy estetyka, komfort użytkowania i długoterminowa trwałość nowego uzębienia. Po zamocowaniu odbudowy, pacjent otrzymuje instrukcje dotyczące prawidłowej higieny, która jest kluczowa dla utrzymania zdrowia implantów i dziąseł.
Jakie są kluczowe czynniki wpływające na sukces leczenia implantologicznego
Sukces leczenia implantologicznego zależy od wielu powiązanych ze sobą czynników, których odpowiednie uwzględnienie i kontrola są niezbędne dla długoterminowego powodzenia terapii. Pierwszym i fundamentalnym elementem jest doskonała higiena jamy ustnej pacjenta. Nawet najlepiej wykonany zabieg i implanty najwyższej jakości nie przyniosą oczekiwanych rezultatów, jeśli pacjent nie będzie dbał o codzienne czyszczenie zębów i dziąseł wokół implantów. Niewłaściwa higiena prowadzi do stanów zapalnych, periimplantitis, czyli zapalenia tkanek otaczających implant, które może skutkować jego utratą.
Kolejnym istotnym aspektem jest stan ogólny zdrowia pacjenta. Choroby przewlekłe, takie jak cukrzyca (zwłaszcza niekontrolowana), choroby serca czy osteoporoza, mogą wpływać na proces gojenia i integracji implantu z kością. Palenie tytoniu jest bardzo negatywnym czynnikiem, ponieważ znacząco pogarsza ukrwienie tkanek i zdolność do regeneracji, co zwiększa ryzyko powikłań i niepowodzenia leczenia. Jakość i ilość tkanki kostnej w miejscu wszczepienia implantu również odgrywa kluczową rolę. W przypadku jej niedoboru, konieczne może być przeprowadzenie zabiegów sterowanej regeneracji kości, takich jak sterowana kościotworzenie lub podniesienie dna zatoki szczękowej, co przedłuża czas leczenia, ale zwiększa szanse na stabilne osadzenie implantu.
Nie można pominąć doświadczenia i umiejętności zespołu leczącego. Wybór odpowiedniego systemu implantologicznego, precyzyjne planowanie leczenia, właściwie przeprowadzony zabieg chirurgiczny oraz staranne wykonanie odbudowy protetycznej to zasługa wiedzy i praktyki lekarzy stomatologów, chirurgów i techników protetyków. Regularne wizyty kontrolne po zakończeniu leczenia są również niezbędne do monitorowania stanu implantów, dziąseł i całego uzębienia, co pozwala na wczesne wykrycie ewentualnych problemów i podjęcie odpowiednich działań zapobiegawczych.




