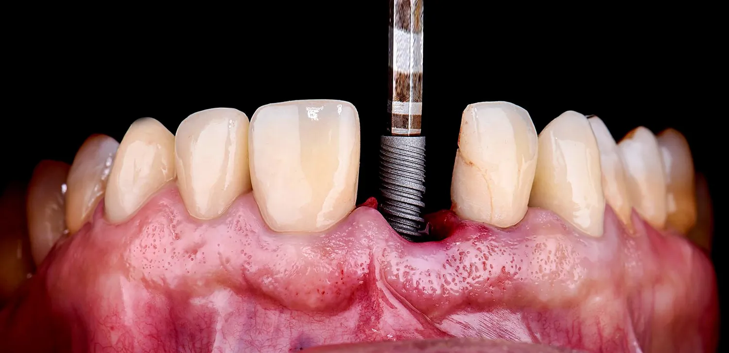
Implanty w jeden dzień to innowacyjne rozwiązanie, które zyskuje coraz większą popularność wśród pacjentów poszukujących szybkiej i efektywnej metody uzupełnienia braków w uzębieniu. W Kołobrzegu wiele klinik stomatologicznych oferuje tę usługę, co sprawia, że pacjenci mają dostęp do nowoczesnych technologii i wysoko wykwalifikowanych specjalistów. Proces wszczepienia implantów w jeden dzień polega na tym, że pacjent przychodzi do gabinetu stomatologicznego, gdzie przeprowadza się dokładną diagnostykę oraz planowanie leczenia. Następnie, w trakcie jednej wizyty, lekarz wykonuje zabieg chirurgiczny polegający na wszczepieniu implantu oraz umieszczeniu na nim tymczasowej korony. Dzięki temu pacjent może cieszyć się nowym uśmiechem już po kilku godzinach.
Jakie są zalety implantów w jeden dzień w Kołobrzegu
Decydując się na implanty w jeden dzień w Kołobrzegu, pacjenci mogą liczyć na szereg korzyści, które sprawiają, że ta metoda staje się coraz bardziej atrakcyjna. Przede wszystkim czas leczenia jest znacznie skrócony, co dla wielu osób jest kluczowym czynnikiem. Zamiast długotrwałego procesu, który może trwać nawet kilka miesięcy, pacjenci otrzymują możliwość szybkiego uzupełnienia braków w uzębieniu. Kolejną zaletą jest estetyka – tymczasowe korony są projektowane tak, aby jak najlepiej imitowały naturalne zęby, co pozwala na natychmiastowe poprawienie wyglądu uśmiechu. Dodatkowo, implanty w jeden dzień są często mniej inwazyjne niż tradycyjne metody leczenia, co oznacza mniejsze ryzyko bólu i komplikacji pooperacyjnych. Warto również wspomnieć o wygodzie – pacjenci nie muszą wielokrotnie odwiedzać gabinetu stomatologicznego, co oszczędza czas i zmniejsza stres związany z leczeniem dentystycznym.
Czy implanty w jeden dzień są bezpieczne dla pacjentów

Bezpieczeństwo implantów w jeden dzień to kwestia, która budzi wiele pytań i wątpliwości wśród pacjentów rozważających tę formę leczenia. Warto zaznaczyć, że zabieg ten jest przeprowadzany przez wykwalifikowanych specjalistów, którzy stosują najnowsze technologie oraz materiały wysokiej jakości. Dzięki temu ryzyko powikłań jest znacznie zredukowane. Kluczowym elementem bezpieczeństwa jest również odpowiednia diagnostyka przed zabiegiem – lekarz powinien dokładnie ocenić stan zdrowia pacjenta oraz przeprowadzić niezbędne badania obrazowe. W przypadku wystąpienia jakichkolwiek przeciwwskazań do przeprowadzenia zabiegu, lekarz ma obowiązek poinformować pacjenta o możliwych zagrożeniach i alternatywnych metodach leczenia. Dodatkowo, po wszczepieniu implantów pacjenci powinni przestrzegać zaleceń lekarza dotyczących pielęgnacji jamy ustnej oraz regularnych wizyt kontrolnych, co pozwoli na monitorowanie stanu zdrowia implantu i zapobieganie ewentualnym problemom.
Jakie są opinie pacjentów o implantach w jeden dzień w Kołobrzegu
Opinie pacjentów o implantach w jeden dzień w Kołobrzegu są zazwyczaj pozytywne, co świadczy o wysokiej jakości usług świadczonych przez lokalne kliniki stomatologiczne. Wielu pacjentów podkreśla komfort i szybkość całego procesu – od pierwszej wizyty aż po zakończenie zabiegu. Osoby korzystające z tej metody często zwracają uwagę na estetykę tymczasowych koron oraz ich naturalny wygląd. Dzięki temu mogą cieszyć się pięknym uśmiechem niemal od razu po zabiegu. Pacjenci chwalą także profesjonalizm personelu medycznego oraz indywidualne podejście do każdego przypadku. Wiele osób docenia również fakt, że implanty w jeden dzień pozwalają uniknąć długotrwałego noszenia protez czy innych rozwiązań tymczasowych. Oczywiście zdarzają się też negatywne opinie związane z powikłaniami czy brakiem oczekiwanych efektów estetycznych, jednak są one stosunkowo rzadkie i często wynikają z indywidualnych predyspozycji pacjentów lub niewłaściwego przestrzegania zaleceń pooperacyjnych.
Jakie są koszty implantów w jeden dzień w Kołobrzegu
Koszty implantów w jeden dzień w Kołobrzegu mogą się różnić w zależności od wielu czynników, takich jak lokalizacja kliniki, doświadczenie lekarza, a także zastosowane materiały i technologie. Warto zauważyć, że choć cena może wydawać się wysoka, to inwestycja w zdrowie jamy ustnej oraz estetykę uśmiechu jest często opłacalna. Średni koszt jednego implantu w Kołobrzegu oscyluje wokół kilku tysięcy złotych, jednak warto pamiętać, że cena ta może obejmować nie tylko sam implant, ale również zabieg chirurgiczny oraz tymczasowe korony. Wiele klinik oferuje różne opcje finansowania, co pozwala pacjentom na rozłożenie kosztów na raty lub skorzystanie z programów lojalnościowych. Dodatkowo, niektóre placówki mogą oferować promocje lub zniżki dla nowych pacjentów, co również wpływa na ostateczną cenę leczenia.
Jak przebiega proces konsultacji przed zabiegiem implantów w Kołobrzegu
Proces konsultacji przed zabiegiem wszczepienia implantów w jeden dzień w Kołobrzegu jest kluczowym etapem, który pozwala na dokładne zaplanowanie leczenia oraz ocenę stanu zdrowia pacjenta. Na początku wizyty lekarz przeprowadza szczegółowy wywiad medyczny, aby poznać historię zdrowia pacjenta oraz ewentualne przeciwwskazania do zabiegu. Następnie wykonuje badania diagnostyczne, takie jak zdjęcia rentgenowskie czy tomografia komputerowa, które pozwalają na ocenę stanu kości oraz lokalizacji zębów. Na podstawie zebranych informacji lekarz przygotowuje indywidualny plan leczenia, który uwzględnia zarówno potrzeby pacjenta, jak i możliwości techniczne. Podczas konsultacji pacjent ma również okazję zadawać pytania dotyczące samego zabiegu, czasu rekonwalescencji oraz pielęgnacji pooperacyjnej. Ważne jest, aby pacjent czuł się komfortowo i miał pełną świadomość tego, co go czeka.
Jak dbać o implanty po zabiegu w Kołobrzegu
Prawidłowa pielęgnacja implantów po zabiegu jest kluczowa dla ich długowieczności oraz zdrowia jamy ustnej. Po wszczepieniu implantów pacjenci powinni stosować się do zaleceń lekarza dotyczących higieny jamy ustnej oraz regularnych wizyt kontrolnych. Przez pierwsze dni po zabiegu zaleca się unikanie twardych pokarmów oraz nadmiernego obciążania nowego implantu. Ważne jest również przestrzeganie zasad higieny – codzienne szczotkowanie zębów oraz używanie nici dentystycznych powinno stać się rutyną. Warto także stosować płyny do płukania jamy ustnej zawierające składniki antybakteryjne, które pomogą w utrzymaniu czystości i zapobiegną infekcjom. Pacjenci powinni być świadomi objawów ewentualnych powikłań, takich jak ból czy obrzęk wokół implantu, i niezwłocznie zgłaszać je lekarzowi. Regularne wizyty kontrolne są niezwykle ważne – pozwalają na monitorowanie stanu implantu oraz wykrycie ewentualnych problemów na wczesnym etapie.
Jakie są alternatywy dla implantów w jeden dzień w Kołobrzegu
Dla osób rozważających uzupełnienie braków w uzębieniu istnieją różne alternatywy dla implantów w jeden dzień w Kołobrzegu. Jednym z najpopularniejszych rozwiązań są mosty protetyczne, które polegają na osadzeniu sztucznych zębów na zdrowych zębach sąsiednich. Mosty mogą być dobrym rozwiązaniem dla pacjentów, którzy nie chcą przechodzić przez zabieg chirurgiczny związany z wszczepieniem implantu. Inną opcją są protezy ruchome lub stałe, które również pozwalają na uzupełnienie brakujących zębów. Protezy są często tańszym rozwiązaniem niż implanty, jednak mogą wiązać się z pewnymi niedogodnościami związanymi z noszeniem ich w jamie ustnej. Warto również wspomnieć o metodzie ortodontycznej – jeśli braki w uzębieniu wynikają z przesunięcia zębów lub innych problemów ortodontycznych, leczenie ortodontyczne może pomóc przywrócić prawidłowy układ zębów bez konieczności stosowania implantów.
Jak długo trwa proces gojenia po wszczepieniu implantów w Kołobrzegu
Czas gojenia po wszczepieniu implantów w jeden dzień w Kołobrzegu może się różnić w zależności od indywidualnych predyspozycji pacjenta oraz specyfiki przeprowadzonego zabiegu. Zazwyczaj proces gojenia trwa od kilku dni do kilku tygodni. W pierwszych dniach po zabiegu pacjenci mogą odczuwać dyskomfort lub ból, który można łagodzić za pomocą leków przeciwbólowych przepisanych przez lekarza. Warto pamiętać o tym, że podczas gojenia organizm musi zaakceptować nowy implant jako część struktury kostnej – ten proces nazywany jest osteointegracją i może trwać nawet kilka miesięcy. W przypadku implantów umieszczonych jednocześnie z tymczasową koroną pacjenci mogą korzystać z estetyki nowego uśmiechu już po jednym dniu, jednak pełna integracja implantu wymaga czasu i cierpliwości. Regularne wizyty kontrolne u stomatologa są istotne dla monitorowania postępu gojenia oraz oceny stanu implantu.
Jak znaleźć najlepszą klinikę stomatologiczną oferującą implanty w Kołobrzegu
Aby znaleźć najlepszą klinikę stomatologiczną oferującą implanty w jeden dzień w Kołobrzegu, warto zwrócić uwagę na kilka istotnych czynników. Po pierwsze, dobrze jest zacząć od poszukiwania rekomendacji od znajomych lub rodziny, którzy mieli doświadczenie z leczeniem stomatologicznym w tej okolicy. Internet to również doskonałe źródło informacji – opinie pacjentów zamieszczane na stronach klinik czy portalach społecznościowych mogą pomóc ocenić jakość usług świadczonych przez daną placówkę. Kolejnym krokiem jest sprawdzenie kwalifikacji personelu medycznego – warto zwrócić uwagę na doświadczenie lekarzy specjalizujących się w implantologii oraz ich certyfikaty potwierdzające ukończenie odpowiednich szkoleń i kursów. Dobrze jest również zwrócić uwagę na wyposażenie kliniki – nowoczesny sprzęt diagnostyczny oraz technologiczny świadczy o wysokim standardzie usług i dbałości o komfort pacjentów.





